参与者
69
投票数
148480
访问量
257103
活动
结束
倒计时
0
天
0
时
0
分
0
秒
27、林金传---《鱼跃龙门》
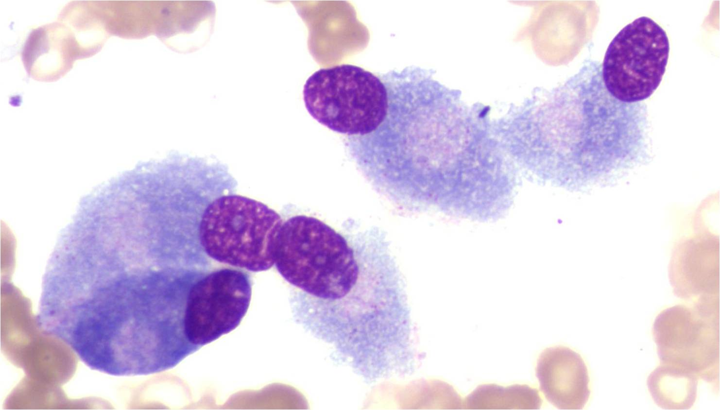
成骨细胞,常为长椭圆形或不规则,胞体边缘清楚或呈云雾状,多成簇分布。胞核椭圆形或圆形,常偏于一侧。胞质丰富,深蓝色或淡蓝色,常有空泡,离核较远处常有椭圆形淡染区,偶见少许紫红色颗粒,也称为造骨细胞,为骨髓正常可见的细胞之一。
票数:
102
票
我要投票
E8投票
关闭
预览