参与者
69
投票数
148480
访问量
257103
活动
结束
倒计时
0
天
0
时
0
分
0
秒
26、林金传---快乐遨游的小金鱼》
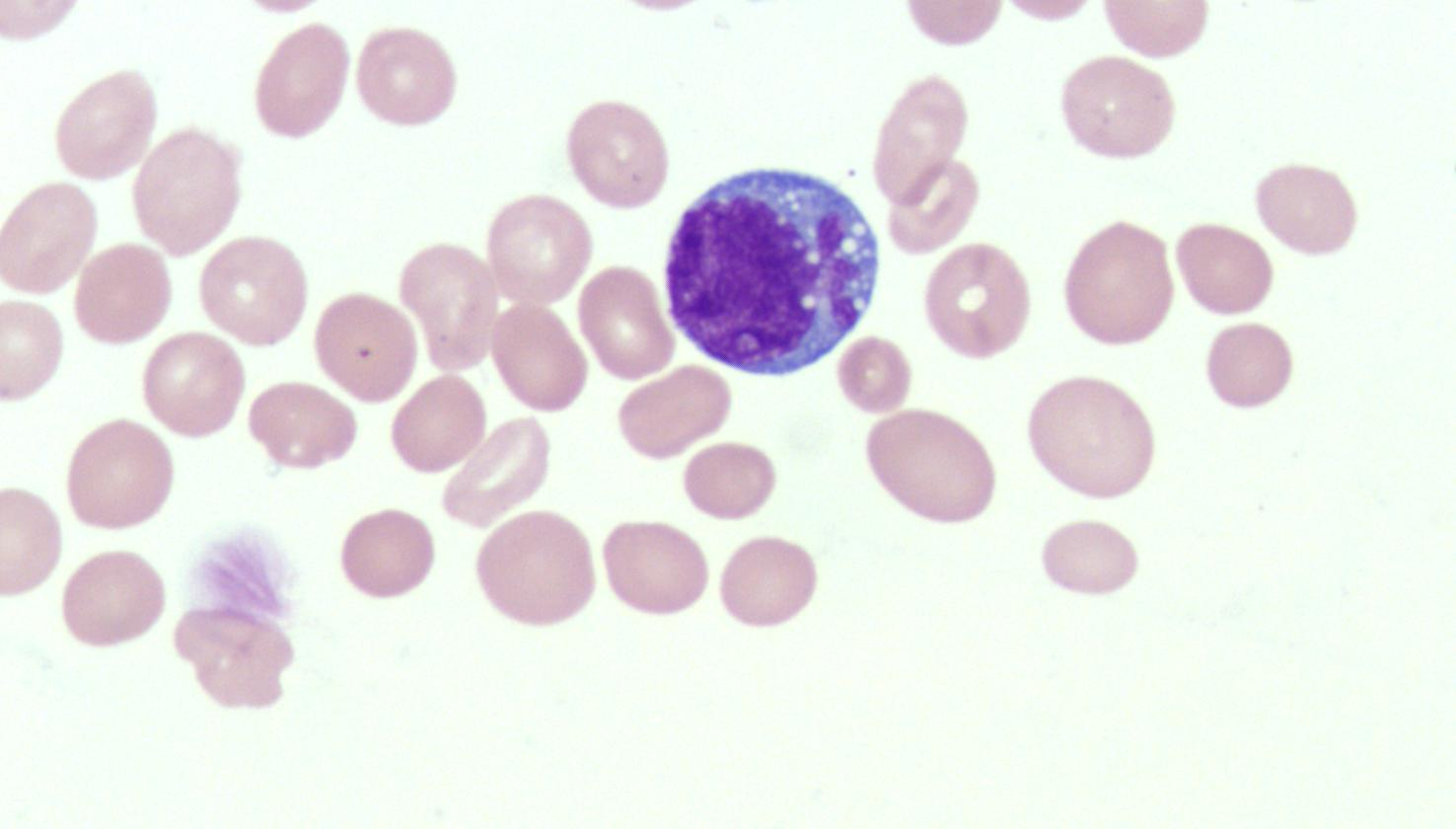
淋巴瘤细胞,胞体大小常不一致,胞体规则或不规则;胞质量丰富,呈深蓝色,可见空泡;胞核较大,常不规则,染色质较细致,部分可见较大而清晰的核仁。淋巴瘤细胞一种恶性增殖的淋巴细胞,常见于各类淋巴瘤疾病。
票数:
99
票
我要投票
E8投票
关闭
预览