参与者
69
投票数
148480
访问量
257103
活动
结束
倒计时
0
天
0
时
0
分
0
秒
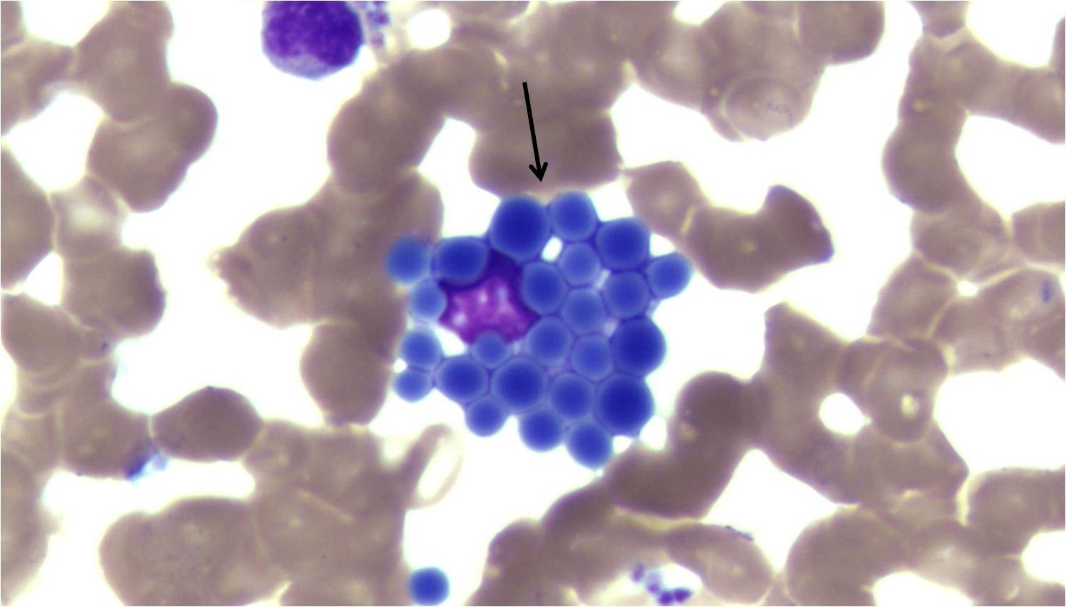
25、王炳龙---《葡萄物语》
Mott细胞,亦称葡萄细胞,因胞质内充满大量的Russell小体形似葡萄而得名。该细胞胞质中的免疫球蛋白聚集,形成多个淡蓝色、圆形、大小不等、直径2-3um的包涵体,是一种形态异常的浆细胞,常见于多发性骨髓瘤、浆细胞瘤、MGUS、感染及反应性浆细胞增多等。
票数:
115
票
我要投票
E8投票
关闭
预览