参与者
69
投票数
148480
访问量
257103
活动
结束
倒计时
0
天
0
时
0
分
0
秒
20、王斌---《奔赴》
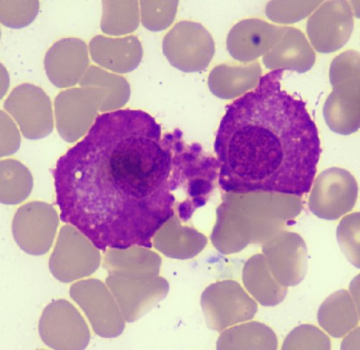
本图来自MM(IgA型)患者骨髓细胞涂片,骨髓瘤细胞核染色质疏松,偏位,可见核仁,胞浆量丰富,可见核旁淡染区,胞浆紫红色,似火焰,故称火焰浆细胞。图中两个火焰浆细胞围绕中间血小板,整体形似蝴蝶偏偏起舞;两个火焰浆细胞核相互靠近,即使中间有血小板的阻隔,依旧彼此亲近,胜似两个爱人间突破阻扰,彼此奔赴。
票数:
118
票
我要投票
E8投票
关闭
预览