参与者
69
投票数
148480
访问量
257103
活动
结束
倒计时
0
天
0
时
0
分
0
秒
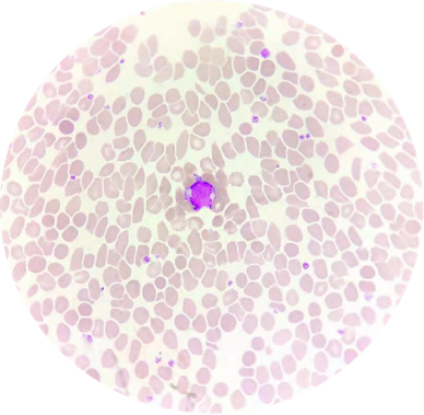
18、陈丽惠---《一只小“猪”迷失在真红“森林”》
真红病人外周血涂片可见红细胞轻度大小不均,嗜多色红细胞增多,血小板明显增多,偶见一个原始细胞长得像一直小猪,被很多红细胞和血小板包围,就像一只猪迷失在丛林中。
票数:
1190
票
我要投票
E8投票
关闭
预览