参与者
69
投票数
148480
访问量
257103
活动
结束
倒计时
0
天
0
时
0
分
0
秒
13、范金清---《卧牛》
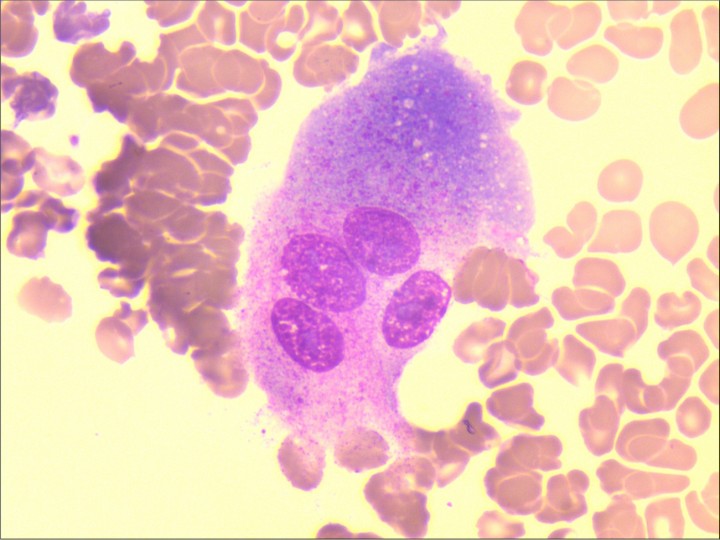
破骨细胞,胞体巨大不规则,边缘不整如撕纸状,胞浆丰富呈淡蓝色、淡红色或红蓝相间,胞质中有大量较细小的紫红色颗粒并伴有粗大的紫红色颗粒,核常多个,彼此孤立,核染色质呈粗网状,核仁1-2个。其在骨骼的发育和形成过程中发挥重要作用。
票数:
851
票
我要投票
E8投票
关闭
预览