参与者
69
投票数
148480
访问量
257103
活动
结束
倒计时
0
天
0
时
0
分
0
秒
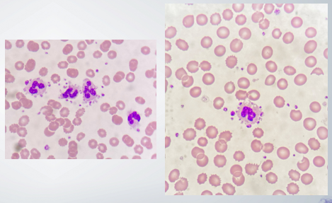
11、王海玲---《众星捧月》
血小板黏附、围绕于中性粒细胞(或偶尔黏附于单核细胞)的现象称为血小板卫星现象,有时可见血小板吞噬现象。此时,血小板和中性粒细胞的形态和功能均正常。血小板卫星现象偶见于EDTA抗凝血,因EDTA和免疫球蛋白相互作用,非特异性结合血小板,使得被抗体包被的血小板与中性粒细胞相结合。因血小板被误计为是白细胞,故此血小板卫星现象也成为血细胞分析仪血小板计数假性减少的原因之一。
票数:
3929
票
我要投票
E8投票
关闭
预览