参与者
69
投票数
148480
访问量
257103
活动
结束
倒计时
0
天
0
时
0
分
0
秒
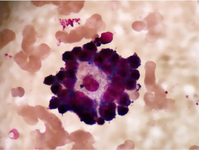
08、林萍---《众星捧月》
幼红细胞造血岛,中心为一个巨噬细胞,周围环绕不同发育程度的幼红细胞。幼红细胞造血岛在贫血性疾病的诊断和鉴别诊断、良恶性噬血细胞综合征的鉴别、急性白血病疗效判断方面有重要意义。
票数:
146
票
我要投票
E8投票
关闭
预览