参与者
69
投票数
148480
访问量
257103
活动
结束
倒计时
0
天
0
时
0
分
0
秒
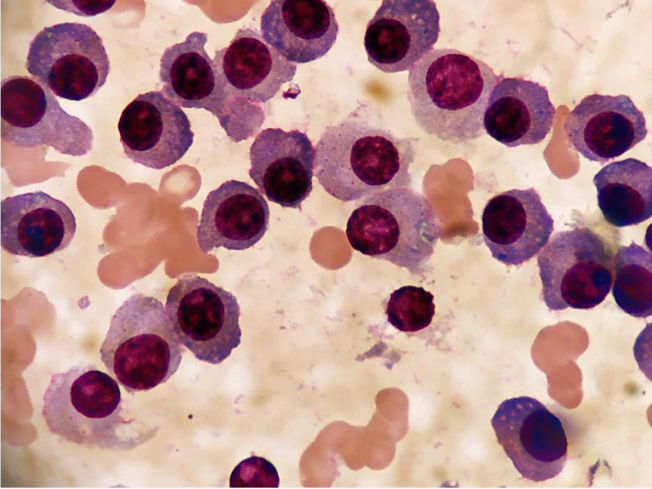
06、林萍---《满天星斗》
此图为清一色“骨髓瘤细胞”,胞体圆形或椭圆形,胞浆量多、蓝色、不透明,无颗粒或含少量紫红色颗粒;核圆形,居中或偏位,核染色质呈粗颗粒状,染紫红色,核仁1~2个。骨髓瘤细胞见于多发性骨髓瘤。
票数:
198
票
我要投票
E8投票
关闭
预览