参与者
69
投票数
148480
访问量
257103
活动
结束
倒计时
0
天
0
时
0
分
0
秒
05、刘声平---《细胞爱你,你也一定要爱自己啊》
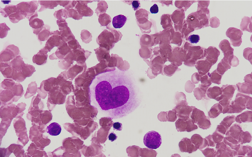
颗粒型巨核细胞。胞体大,圆或不规则;胞质量多,颗粒呈紫红色,无血小板产生;胞核大,常为类圆形。该细胞可在正常人骨髓涂片观察到,且在一些表现为巨核细胞成熟障碍的疾病中数量明显增加,如ITP、MDS、MA及结缔组织病等疾病。
票数:
5059
票
我要投票
E8投票
关闭
预览