参与者
69
投票数
148480
访问量
257103
活动
结束
倒计时
0
天
0
时
0
分
0
秒
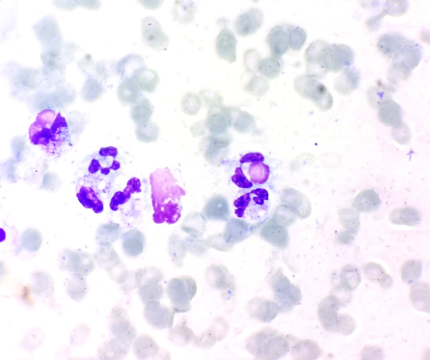
04、林海峰---《LE细胞》
系统性红斑狼疮患者血液(或体液中)存在狼疮细胞因子,在体外可使受累白细胞核DNA解聚,形成游离均匀体,中性粒细胞吞噬无结构的红色均匀体后,胞核被挤到一侧形成狼疮细胞(LE细胞),未被吞噬的均匀体可以被多个中性粒细胞环绕,形成花簇样细胞。狼疮细胞在SLE中的阳性率可高达40%-70%。
票数:
814
票
我要投票
E8投票
关闭
预览